梅田 滉弥
2025/12/22
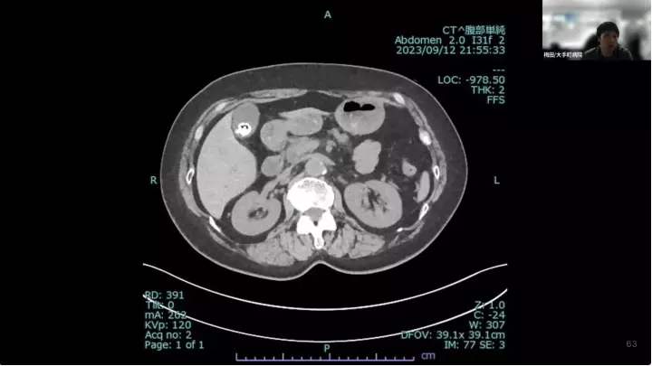
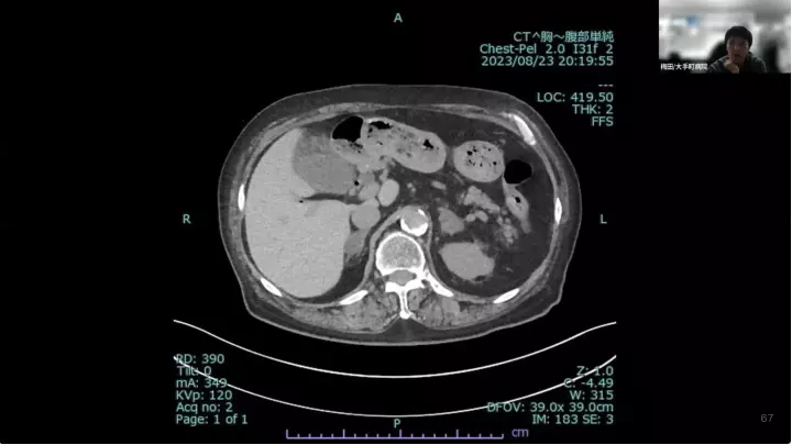
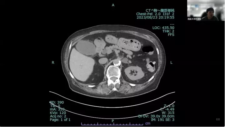
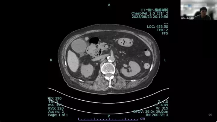
現役若手外科医だからこそ視えているものを凝集しています。 疾患の考え方や身体所見と手術映像の合致など、教科書だけでは不十分な領域をカバーしています。 医学生/研修医/他科のDr.にぜひ知ってほしい知識を詰め込んでいます。 #胆嚢炎治療,#外科医目線




















































































外科医目線の~急性胆嚢炎~治療編
梅田 滉弥
2025/08/31

外科医目線の~急性胆嚢炎~治療編
梅田 滉弥
0
1
Loading...
Loading...
梅田 滉弥
2025/12/22
現役若手外科医だからこそ視えているものを凝集しています。 疾患の考え方や身体所見と手術映像の合致など、教科書だけでは不十分な領域をカバーしています。 医学生/研修医/他科のDr.にぜひ知ってほしい知識を詰め込んでいます。 #胆嚢炎治療,#外科医目線




















































































外科医目線の~急性胆嚢炎~治療編
梅田 滉弥
2025/08/31

外科医目線の~急性胆嚢炎~治療編
梅田 滉弥
0
1