井上 祥
2026/02/17
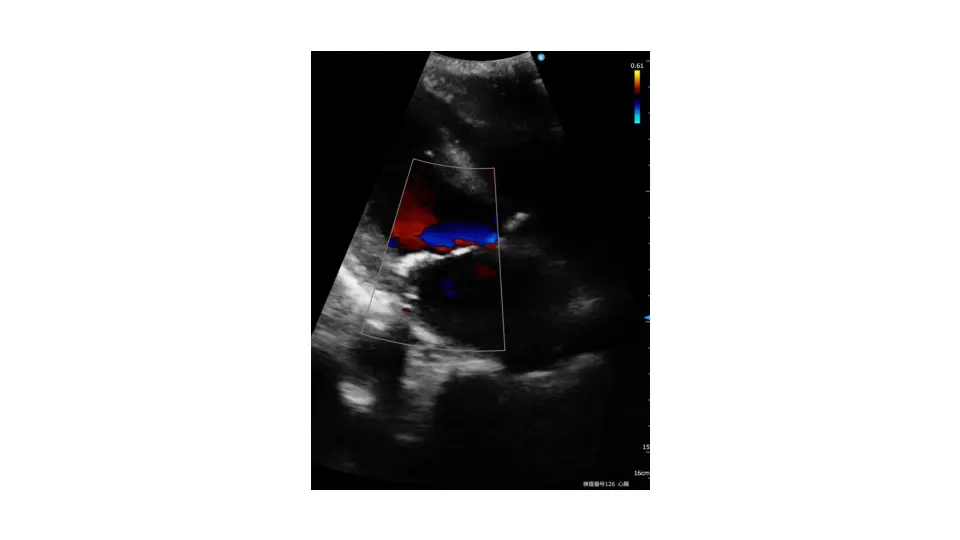
在宅診療での心不全診療は病院外来診療に比べても大きなメリットがありますのでそれをお伝えすることができる内容となっております。 また心不全の病の軌跡を意識して患者さんを診ることで在宅で最期まで心不全患者さんを看取ることが可能であることを実感して頂ける内容となっています。




























































病の軌跡に寄り添う -C→D→終末期→看取りとその先に寄り添う心不全診療
井上 祥
2026/02/17

病の軌跡に寄り添う -C→D→終末期→看取りとその先に寄り添う心不全診療
井上 祥
0
0
Loading...
Loading...


